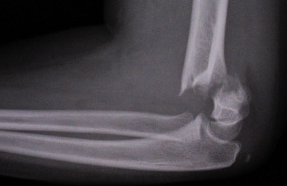
Supracondylar fracture

Supracondylar fractureSupracondylar fracture
  • Facts:
    Common in pediatric population
  • History / PE:
    Falling on outstretched hand
  • Diagnosis:
    Displaced anterior fat pad (xray)
  • Complications:
    Volkmann's ischemic contracture



Review Edit Entry New Entry


August 7th 2010