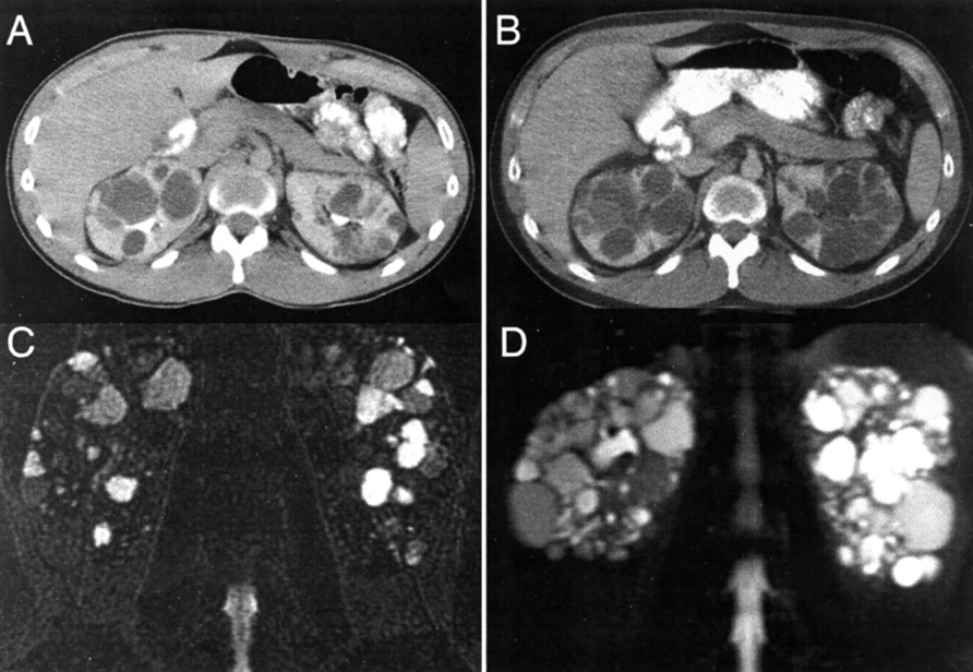
Polycystic kidney disease PKD

Polycystic kidney diseasePolycystic kidney disease
  • Facts:
    Autosomal dominant (ADPKD)
    MC; usually asymptomatic until > 30 yo

    Autosomal recessive (ARPKD)
    Less common, more severe; in infants and young children
  • History / PE:
    Pain, hematuria
    HTN
    Palpable kidneys
  • Diagnosis:
    U/S or CT scan
    Genetic testing ADPKD1 and ADPKD2
  • Treatment:
    Prevent complications
    Decrease rate of progression to ESRD
    ACEIs, ARBs (BP control)
  • Notes:
    Easier to feel R kidney because it lies lower than L kidney
  • Associated With:
    1) Intracranial berry aneurysms
    2) Hepatic cysts (MC extra-renal complication)
    3) Valvular heart disease (MVP and AR)
    4) Nephrolithiasis
    5) HTN
    6) Colonic diverticula
    7) Abdominal wall and inguinal hernia
  • Differential Diagnosis:
    Renal cell carcinoma
    Bladder cancer



Review Edit Entry New Entry


August 2nd 2010