Multiple sclerosis MS

Multiple sclerosisMultiple sclerosis
  • History / PE:
    Optic neuritis
    Internuclear ophthalmoplegia (demyelination of MLF)
    Nystagmus
    Scanning speech
    L'Hermitte's sign
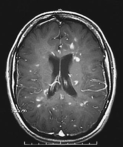
  • Diagnosis:
    Asymmetric, periventricular lesions on MRI (Dawson's fingers)
    Oligoclonal bands (CSF)
  • Treatment:
    IV steroids (exacerbations)
    Beta-interferon (avonex, betaseron)
    Copaxone (glatiramer)
  • Notes:
    Relapsing/remitting has best prognosis



Review Edit Entry New Entry


August 4th 2010