COPD Chronic Obstructive Pulmonary Disease

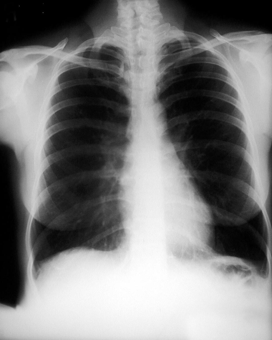
Diaphragm flattening
  • Facts:
    Chronic Bronchitis
    Emphysema
  • Diagnosis:
    Diaphragm flattening (increased WOB)
  • Treatment:
    Ipratropium bromide (anticholinergic)
    Beta 2 agonists
    Long term supplemental oxygen therapy
    Smoking cessation

    Corticosteroids and NIPPV (acute exacerbation)
  • Complications:
    1) Secondary pneumothorax (acute worsening of COPD symptoms)

    2) Alveolar hypoventilation (in setting of COPD exacerbation) causes carbon dioxide retention and resultant lethargy, seizures, coma, and even death
  • Notes:
    All COPD patients with PaO2 < 55mmHg or SaO2 < 88"2 are candidates for long term home oxygen treatment
  • See Also:
    Obstructive Lung Disease
    Restrictive Lung Disease
  • Associated With:
    Multifocal atrial tachycardia



Review Edit Entry New Entry


August 4th 2010